Metaplastic Carcinoma: A Deep Dive

B.Designwall 57 views
Metaplastic Carcinoma: A Deep Dive

Metaplastic Carcinoma: A Deep Dive

Hey everyone! Today, we’re diving deep into metaplastic carcinoma , a rare and often aggressive type of breast cancer, particularly when it presents as triple-negative breast cancer. It’s a mouthful, I know, but trust me, understanding this condition is super important. We’ll break down everything from what it is, how it’s diagnosed, the treatment options available, and what the future might hold. So, grab a coffee (or your favorite beverage), and let’s get started!

What is Metaplastic Carcinoma? Understanding the Basics

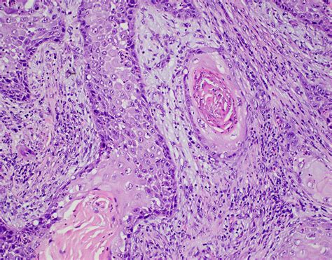
Alright, first things first: What exactly is metaplastic carcinoma? Simply put, it’s a type of breast cancer characterized by the presence of different types of cells within the tumor. Unlike more common types of breast cancer, which often have a more uniform appearance under a microscope, metaplastic carcinoma is a mixed bag. This means the tumor cells can resemble various tissue types, including those found in bone, cartilage, or even muscle. It’s this unique cellular composition that sets it apart and makes it a bit more challenging to treat.

Now, let’s break down the word itself. “Metaplastic” refers to the change in the cell type, meaning that the cells have transformed into something different from their original form. “Carcinoma,” well, that simply tells us it’s a type of cancer that originates in the epithelial cells – the cells that line organs and tissues. So, metaplastic carcinoma is essentially a cancer where cells have undergone a transformation, resulting in a tumor with a mix of cell types.

Here’s the kicker: metaplastic carcinoma often presents as triple-negative breast cancer (TNBC) . This is a subtype of breast cancer that lacks the estrogen receptor (ER), progesterone receptor (PR), and human epidermal growth factor receptor 2 (HER2). This means that traditional hormone therapies, which target ER and PR, and HER2-targeted therapies, are ineffective. This limited treatment options is often why TNBC tends to be more aggressive and have a higher rate of recurrence compared to some other types of breast cancer. This combination of factors – the unusual cellular makeup and the triple-negative status – makes metaplastic carcinoma a particularly challenging form of breast cancer. The rarity of the disease also contributes to the difficulty, as there’s less data and research available compared to more common breast cancer types. This means that treatment approaches are often based on general guidelines for TNBC, with some modifications based on the specific characteristics of the tumor. Given that the cancer presents in many different forms, it may require a multifaceted approach to address it. Understanding these basic concepts is essential for anyone dealing with this diagnosis, as it informs the treatment journey and helps set realistic expectations.

One of the critical aspects of metaplastic carcinoma is its tendency to be more aggressive than other forms of breast cancer. This means it often grows and spreads more quickly, increasing the risk of the cancer metastasizing to other parts of the body. This aggressive behavior is also reflected in the staging of the cancer. Like other cancers, metaplastic carcinoma is staged based on the size of the tumor, whether it has spread to nearby lymph nodes, and whether it has metastasized to distant sites. Higher stages indicate more advanced disease and a less favorable prognosis. While the staging of the cancer provides useful information, the biological characteristics of metaplastic carcinoma, such as its subtype and grade, also significantly impact the patient’s prognosis. These factors, alongside the patient’s overall health and response to treatment, play a key role in predicting the course of the disease and guiding treatment decisions.

Diagnosis: How is Metaplastic Carcinoma Identified?

So, how do doctors figure out if you’ve got metaplastic carcinoma ? Well, it usually starts with a physical exam and imaging tests, just like with any other suspected breast cancer. If something suspicious is found, the next step is a biopsy. Let’s explore the process of diagnosis.

First off, the physical exam . A doctor will feel your breasts and underarm area for any lumps or changes. They’ll also ask about your medical history and any risk factors you might have. If something feels off, the doctor will likely order some imaging tests. Mammograms are the most common, but sometimes an ultrasound or MRI might be used, especially if the mammogram is inconclusive or if you have dense breast tissue. These imaging tests can help visualize the suspicious area and give doctors a better idea of what’s going on.

Now comes the most crucial part: the biopsy . This is where a small sample of tissue is taken from the suspicious area and examined under a microscope. There are different types of biopsies, including core needle biopsy and surgical biopsy. The choice depends on the size and location of the suspicious area. During the biopsy, a pathologist (a doctor specializing in the diagnosis of diseases through the examination of tissues) will analyze the sample to determine if cancer cells are present. If cancer is detected, the pathologist will perform additional tests to determine the type of cancer and whether it’s metaplastic carcinoma.

One of the key tests used to diagnose metaplastic carcinoma is immunohistochemistry (IHC) . This test uses antibodies to identify specific proteins in the cancer cells. This is how doctors determine if the cancer is triple-negative (lacking ER, PR, and HER2). If the cancer is triple-negative, it further supports the diagnosis of metaplastic carcinoma, as this type often presents this way. The pathologist will also examine the cells under a microscope to look for the characteristic features of metaplastic carcinoma – the presence of different cell types and other unique features. This microscopic examination is crucial for distinguishing metaplastic carcinoma from other types of breast cancer. Furthermore, genomic testing might be used to identify genetic mutations that could help guide treatment decisions and predict the patient’s response to therapy. This is particularly important for patients with advanced or recurrent disease, where knowing the specific genetic makeup of the tumor can open up opportunities for personalized treatment approaches.

Sometimes, the diagnosis isn’t straightforward and requires more specialized testing or a second opinion from a pathologist specializing in breast cancer. This is because metaplastic carcinoma can sometimes resemble other types of cancer. Getting an accurate diagnosis is absolutely critical, as it directly impacts the treatment plan. Accurate diagnosis is essential because treatments are tailored based on the cancer type. This emphasizes the importance of a thorough and detailed diagnostic process, ensuring that the patient receives the most appropriate and effective care possible. A delay in diagnosis or an incorrect diagnosis can lead to treatment delays or inappropriate treatment, potentially affecting outcomes.

Treatment Options: Navigating the Path Forward

Alright, so you’ve been diagnosed with metaplastic carcinoma . Now what? Well, the good news is there are treatment options available, although they may be different from those for other types of breast cancer. Let’s delve into the usual treatment approaches.

Since metaplastic carcinoma is often triple-negative, hormone therapies and HER2-targeted therapies usually aren’t effective. The mainstays of treatment are typically surgery, chemotherapy, and sometimes radiation therapy. Surgery is often the first step, aiming to remove the tumor and surrounding tissue. The extent of the surgery (lumpectomy or mastectomy) depends on the size and location of the tumor, as well as patient preferences. After surgery, chemotherapy is almost always recommended, often as an adjuvant therapy (after surgery) to kill any remaining cancer cells and reduce the risk of recurrence. The specific chemotherapy drugs used will depend on factors like the patient’s overall health, the stage of the cancer, and the specific characteristics of the tumor.

Radiation therapy might also be used, especially after a lumpectomy to reduce the chance of cancer returning in the breast. It can also be used to treat cancer that has spread to other areas of the body, like the bones or brain. Newer treatment strategies are being actively researched, including targeted therapies and immunotherapies. Because metaplastic carcinoma is a rare cancer, treatment often follows the general guidelines for triple-negative breast cancer, with adjustments based on the specific features of the tumor. Clinical trials are also an important option. These trials offer access to cutting-edge treatments that might not be available otherwise, giving patients a chance to benefit from the latest advances in cancer care. Participating in a clinical trial could be a significant decision, and should be discussed with the patient’s care team to assess the risks and benefits.

Now, a word about targeted therapies and immunotherapy . These are newer approaches that aim to attack cancer cells more precisely or boost the body’s immune system to fight the cancer. For metaplastic carcinoma , targeted therapies are used only if there are specific targets that have been identified. Immunotherapy is currently being investigated in clinical trials. While these treatments aren’t standard yet, they offer promise and are constantly evolving. The treatment plan is personalized, reflecting the unique characteristics of each patient’s cancer. Factors like the patient’s age, overall health, and preferences are also considered. Close collaboration between the patient and their care team is key to developing and implementing the best possible treatment strategy. This collaboration ensures that treatment decisions are made with the patient’s values and needs in mind.

Prognosis and Outlook: What to Expect

So, what about the prognosis for metaplastic carcinoma ? This is a tough question, and the answer isn’t always straightforward. The outlook can vary greatly depending on several factors. However, we can break down some generalities.

As we mentioned earlier, metaplastic carcinoma can be aggressive, and the prognosis can sometimes be less favorable than for other types of breast cancer. However, it’s essential to remember that everyone’s journey is unique. Several things influence the prognosis, like the stage of the cancer at diagnosis, the grade of the tumor, and the specific subtype of metaplastic carcinoma. For instance, tumors that are caught early and haven’t spread tend to have a better prognosis. The response to treatment is also a key factor. Patients who respond well to chemotherapy and other treatments often have better outcomes.

Recurrence is a concern with any type of breast cancer, and metaplastic carcinoma is no exception. This means the cancer can come back after treatment. Regular follow-up appointments with your doctor are essential to monitor for any signs of recurrence. This often includes physical exams, imaging tests, and blood work. The frequency of these follow-up appointments will depend on your individual situation. Clinical trials continue to play a crucial role in improving outcomes. These trials provide access to cutting-edge treatments and help researchers learn more about how to effectively treat metaplastic carcinoma . Participation in a clinical trial can offer significant benefits and should be discussed with your oncologist.

The overall five-year survival rate for metaplastic carcinoma is lower than for other types of breast cancer, but remember, this is just a statistic. Survival rates are calculated based on data from a large number of patients and cannot predict individual outcomes. The treatment landscape is constantly evolving, with new therapies and treatment approaches being developed. Advances in research, as well as personalized treatment approaches, are enhancing the outlook for patients. Moreover, it’s very important to keep in mind that the survival rates are improving constantly due to advancements in treatment and early detection. If you’ve been diagnosed with metaplastic carcinoma, the best thing to do is work closely with your medical team, follow their recommendations, and focus on your overall well-being. Support groups and patient advocacy organizations can provide emotional support and valuable information.

Living with Metaplastic Carcinoma: Support and Resources

Dealing with a diagnosis of metaplastic carcinoma can be overwhelming, no doubt. But you don’t have to go through it alone. There’s a lot of support out there. Let’s look at the resources available to help you navigate this journey.

First and foremost, talk to your medical team. Your doctors, nurses, and other healthcare professionals are your primary source of information and support. Ask them any questions you have, don’t be afraid to voice your concerns, and make sure you understand your treatment plan. Consider seeking out support groups, either online or in person. Sharing your experiences with others who understand what you’re going through can be incredibly helpful. Groups can offer emotional support, practical tips, and a sense of community. Several organizations specialize in breast cancer, providing information, resources, and support services. Websites like the American Cancer Society, the National Breast Cancer Foundation, and Cancer Research UK have tons of information about metaplastic carcinoma , treatment options, and clinical trials. You can also find local and national organizations that provide financial assistance, transportation, and other services to help with the costs of cancer care. Remember, you don’t have to go it alone. Reach out for help whenever you need it. Support networks can provide invaluable emotional support and practical assistance, easing the burden of living with the disease.

Lifestyle changes can also play a role in managing your well-being. Eating a healthy diet, getting regular exercise, and managing stress can help you feel better and improve your overall quality of life. Be sure to discuss any lifestyle changes with your doctor before making them. Maintaining your mental health is extremely important. Consider talking to a therapist or counselor who specializes in working with cancer patients. They can help you cope with the emotional challenges of the diagnosis and treatment. Seeking professional help when needed is a sign of strength, not weakness. Mindfulness and meditation practices can also be beneficial in managing stress and anxiety. These practices can help you stay grounded and maintain your mental well-being during difficult times. Remember, self-care is not selfish. Taking care of your physical and emotional well-being will enable you to better manage your condition and enjoy life to the fullest extent possible.

Research and Future Directions: What’s on the Horizon?

Okay, so what does the future hold for metaplastic carcinoma ? This is a question researchers are actively working to answer. The good news is that there’s a lot of exciting research happening right now. Here’s a quick look at some of the areas being explored.

One major focus is on targeted therapies . Researchers are working to identify specific targets in the cancer cells that can be attacked with drugs. The challenge with metaplastic carcinoma is that it doesn’t always have the same targets as other types of breast cancer, which is why it’s often unresponsive to treatments such as hormone therapy. There’s also a lot of research into immunotherapy . This approach harnesses the power of your immune system to fight cancer. Clinical trials are testing different immunotherapy drugs, either alone or in combination with other treatments. Another area of focus is genomics . Researchers are studying the genetic makeup of metaplastic carcinoma tumors to understand how they develop and grow, and what makes them different. This information could lead to the development of personalized treatments tailored to each patient’s unique genetic profile. Another goal of research is to identify new biomarkers that can help diagnose the disease early and predict how it will respond to treatment. Early detection is really important. There’s also a focus on improving the way we combine different treatments – for example, how to use chemotherapy, surgery, radiation therapy, targeted therapies, and immunotherapy together in the most effective way. Clinical trials are critical to advancing research. These trials test new treatments and approaches, giving patients access to the latest advances and helping researchers learn more about how to effectively treat metaplastic carcinoma . Supporting research through donations, volunteering, and participation in clinical trials is a crucial contribution to this fight.

The field of breast cancer research is constantly evolving. Advances in understanding the biology of metaplastic carcinoma , along with the development of novel treatment strategies, promise to lead to improved outcomes for patients in the years to come. The future is very exciting, and it is a testament to the dedication of researchers and healthcare professionals worldwide. The outlook for patients is improving constantly, with the evolution of treatment and personalized medicine. With ongoing research and collaboration, we will continue to make great strides in the battle against this disease. The hope for the future is that we will be able to make metaplastic carcinoma a more manageable, and even curable, disease.