Streptococcus Bacteria: What You Need To Know

B.Designwall 128 views
Streptococcus Bacteria: What You Need To Know

Streptococcus Bacteria: What You Need to Know

Hey guys! Let’s dive into the fascinating world of Streptococcus bacteria . You’ve probably heard the name before, maybe in relation to strep throat, but these tiny microbes are way more complex and widespread than you might think. So, what exactly is Streptococcus bacteria, and why should you care? Well, for starters, they’re a huge group of bacteria that come in various shapes and sizes, and they play a significant role in both our health and sometimes, unfortunately, in causing illness. Understanding these bacteria is key to knowing how to protect yourself and your loved ones from the infections they can cause. We’ll be exploring their characteristics, the different types of Strep, the diseases they’re linked to, and importantly, how they’re treated and prevented. Get ready to get a handle on these common, yet often misunderstood, microorganisms.

Understanding Streptococcus Bacteria: The Basics

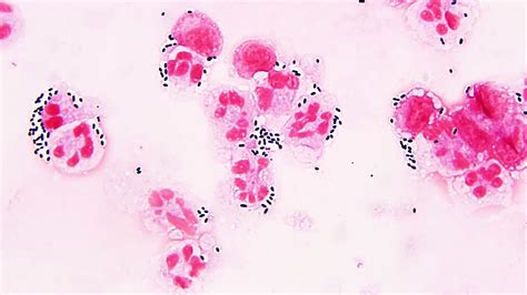
Alright, let’s get down to the nitty-gritty of Streptococcus bacteria . These guys are Gram-positive, which basically means when you look at them under a microscope after a special staining process, they show up a certain color and have a specific type of cell wall. They’re also cocci, meaning they’re spherical or oval-shaped. What’s super distinctive about them is how they arrange themselves – they typically form chains or pairs, kind of like little beads on a string, which is where the name ‘Streptococcus’ comes from (from the Greek word ‘streptos’ meaning twisted or chain-like). This arrangement is a big clue for microbiologists when they’re trying to identify them. But don’t let their simple shape fool you; these bacteria are incredibly diverse. They can be found all over the place – on our skin, in our mouths, and in our digestive tracts – and many of them are actually harmless, even beneficial, part of our natural flora. They’re like tiny tenants living on and in us! However, some strains are opportunistic pathogens, meaning they can cause trouble when the conditions are right, like if our immune system is weakened or if they find their way into parts of the body where they shouldn’t be. This duality is what makes studying Streptococcus so interesting and crucial for public health. The sheer variety within the Streptococcus genus means that not all strains are created equal when it comes to causing disease. Some are incredibly virulent, meaning they can cause severe illness quickly, while others are much more benign. Scientists classify these bacteria using different methods, including how they look under the microscope, their biochemical properties, and importantly, their hemolytic activity – that is, whether and how they break down red blood cells in a lab setting. This classification system helps doctors and researchers distinguish between the different types and predict their potential impact on human health.

Different Types of Streptococcus: A Closer Look

Now, let’s break down the different types of Streptococcus bacteria , because not all Strep are the same. It’s a bit like saying ‘dog’ – there are poodles, bulldogs, and beagles, all dogs, but very different! Scientists have developed ways to classify these bacteria, and one of the most common methods is based on how they affect red blood cells in a petri dish. This is called hemolysis. You’ve got:

  • Alpha-hemolytic (α-hemolytic) streptococci : These guys cause partial lysis of red blood cells. They create a greenish discoloration around their colonies on blood agar. A well-known example here is Streptococcus pneumoniae , which is a major cause of pneumonia, ear infections, and meningitis. So, even partial hemolysis doesn’t mean they’re harmless!
  • Beta-hemolytic (β-hemolytic) streptococci : These are the ones that cause complete lysis of red blood cells, creating clear zones around their colonies. This group includes some of the most notorious pathogens, like Streptococcus pyogenes (Group A Strep) and Streptococcus agalactiae (Group B Strep). We’ll talk more about these baddies soon.
  • Gamma-hemolytic (γ-hemolytic) streptococci : These don’t cause any hemolysis at all. They’re often found in the gut and are generally considered less pathogenic, though they can cause infections in certain circumstances, especially in people with weakened immune systems.

Another important classification system is the Lancefield grouping, named after Rebecca Lancefield. This system groups streptococci based on specific carbohydrates found on their cell surface. For example, Streptococcus pyogenes is classified as Group A Strep (GAS), and Streptococcus agalactiae is Group B Strep (GBS). This grouping is super helpful for identification and understanding the specific diseases they cause. You also have Streptococcus mutans , which is a key player in dental cavities, and Streptococcus salivarius , often found in the mouth and gut. So, as you can see, the Streptococcus genus is a diverse bunch, and understanding these different classifications is fundamental to diagnosing and treating the infections they might cause. It’s like having a detective’s guide to figuring out which villain you’re dealing with.

Common Infections Caused by Streptococcus Bacteria

Okay, guys, let’s talk about the stuff that actually makes us go