Triple-Negative Breast Cancer: Histological Features

B.Designwall 118 views
Triple-Negative Breast Cancer: Histological Features

Triple-Negative Breast Cancer: Histological Features

Triple-negative breast cancer (TNBC) is a unique and aggressive subtype of breast cancer that lacks the three common receptors found in other types of breast cancer: estrogen receptor (ER), progesterone receptor (PR), and human epidermal growth factor receptor 2 (HER2). This absence of receptors means that TNBC doesn’t respond to hormonal therapies or HER2-targeted drugs, making it more challenging to treat. Understanding the histological features of TNBC is crucial for accurate diagnosis, prognosis, and treatment planning. Let’s dive into the microscopic characteristics that define this particular cancer.

Understanding Triple-Negative Breast Cancer Histology

When we talk about triple-negative breast cancer histology , we’re essentially looking at what the cancer cells look like under a microscope. Pathologists examine tissue samples obtained through biopsy to identify specific features that can help differentiate TNBC from other types of breast cancer. These features include the growth patterns of the cells, their shapes and sizes, the presence of certain markers, and the overall architecture of the tumor. Recognizing these histological traits is vital for a correct diagnosis and for guiding treatment decisions, as TNBC often requires a different approach compared to hormone receptor-positive or HER2-positive breast cancers. So, what exactly are these features that pathologists look for?

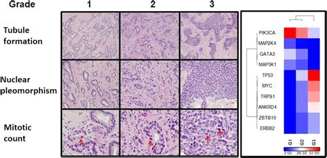
Common Histological Characteristics

Several histological features are commonly observed in TNBC. First off, TNBC tumors often exhibit a high grade, meaning the cancer cells look very different from normal breast cells. They tend to grow and divide rapidly, leading to a less organized and more aggressive appearance. The nuclei of these cells (the control centers) are often larger and more irregular in shape, which is a sign of rapid cell division and genetic instability. Mitotic count, which is the number of cells actively dividing, is typically high in TNBC, further indicating its aggressive nature. Another frequent finding is the presence of necrosis, which is the death of cells within the tumor due to insufficient blood supply. This can create areas of dead or dying tissue within the tumor mass, contributing to its overall chaotic appearance. Stromal features also play a role; the stroma, or the connective tissue surrounding the cancer cells, can show increased cellularity and altered collagen deposition. All these features collectively paint a picture of a rapidly growing, poorly differentiated tumor, helping pathologists to identify TNBC accurately.

Key Histological Features of TNBC

To accurately identify triple-negative breast cancer (TNBC), pathologists look for a combination of distinct histological features under the microscope. These features provide crucial information about the tumor’s behavior and aggressiveness. Here are some of the key characteristics they focus on:

High Grade

One of the most prominent features of TNBC is its high grade . This means that the cancer cells appear very different from normal breast cells. Instead of the uniform, organized structure seen in healthy tissue, TNBC cells exhibit significant variation in size and shape (pleomorphism). The nuclei, which contain the cell’s genetic material, are often enlarged and irregular, with coarse chromatin (the DNA-protein complex). The nucleoli, which are structures within the nucleus involved in ribosome production, may also be prominent. A high-grade tumor generally indicates rapid cell growth and division, reflecting the aggressive nature of TNBC. Pathologists use grading systems, such as the Nottingham grading system, to assess the degree of differentiation and assign a grade (1 to 3) to the tumor, with grade 3 indicating the most poorly differentiated and aggressive tumors. The higher the grade, the more likely the cancer is to grow quickly and spread to other parts of the body. This makes the high-grade nature of TNBC a significant factor in determining treatment strategies and predicting patient outcomes. Essentially, when a pathologist reports a high-grade tumor, it signals that the cancer cells have lost many of their normal characteristics and are behaving in a more uncontrolled and aggressive manner.

High Mitotic Count

Another significant characteristic is a high mitotic count , which refers to the number of cells actively undergoing cell division (mitosis) in a given area of the tumor tissue. Mitosis is the process by which a cell divides to create two identical daughter cells, and a high mitotic count indicates that the cancer cells are proliferating rapidly. Pathologists count the number of mitotic figures (cells in various stages of mitosis) under the microscope within a defined field of view. A higher number of mitotic figures suggests a faster growth rate and a more aggressive tumor. In TNBC, the mitotic count is typically elevated compared to other breast cancer subtypes, reflecting its tendency to grow and spread quickly. This feature is an important component of tumor grading systems and contributes to the overall assessment of tumor aggressiveness. A high mitotic count not only helps in diagnosing TNBC but also provides valuable prognostic information, as it is associated with a higher risk of recurrence and poorer survival outcomes. Therefore, pathologists pay close attention to the mitotic count as a key indicator of the tumor’s proliferative potential and its potential to spread.

Necrosis

Necrosis , or tumor cell death, is another common finding in TNBC. This occurs when cancer cells outgrow their blood supply, leading to a lack of oxygen and nutrients and subsequent cell death. Under the microscope, necrotic areas appear as regions of dead or dying cells with fragmented nuclei and indistinct cell borders. The presence of necrosis is often associated with aggressive tumors that have rapid growth rates, as the tumor’s demand for resources exceeds what the blood vessels can supply. In TNBC, necrosis can be quite extensive, contributing to the overall chaotic appearance of the tumor tissue. The presence of necrosis is not only a diagnostic feature but also has prognostic implications, as it is often associated with poorer outcomes. It indicates that the tumor is growing so rapidly that it is essentially overwhelming its own support systems, making it more difficult to treat effectively. Therefore, pathologists consider necrosis as an important factor when evaluating TNBC tissue samples.

Lymphocytic Infiltration

Lymphocytic infiltration refers to the presence of immune cells, specifically lymphocytes, within and around the tumor. In TNBC, it is not uncommon to see a significant number of lymphocytes infiltrating the tumor tissue. These lymphocytes are part of the body’s immune response to the cancer, and their presence suggests that the immune system is actively trying to fight off the tumor cells. The degree of lymphocytic infiltration can vary, with some tumors showing only a few scattered lymphocytes and others exhibiting dense infiltrates. The presence of lymphocytic infiltration in TNBC has been associated with better outcomes in some studies, suggesting that a strong immune response can help control tumor growth and spread. Researchers are actively investigating the role of immunotherapy in TNBC, as these tumors appear to be more responsive to immune-based therapies than other breast cancer subtypes. Therefore, the presence and extent of lymphocytic infiltration are important factors that pathologists consider when evaluating TNBC, as they may provide insights into the tumor’s behavior and its potential response to treatment.

Stromal Features

The stroma is the connective tissue that surrounds and supports the cancer cells. In TNBC, the stromal features can vary, but there are some common characteristics. The stroma may show increased cellularity, meaning there are more cells present in the connective tissue than normal. These cells can include fibroblasts, immune cells, and blood vessels. The collagen fibers, which are the main structural component of the stroma, may also be altered, with changes in their organization and density. In some cases, the stroma may exhibit a desmoplastic reaction, which is a fibrotic response characterized by dense collagen deposition. The stromal features in TNBC can influence tumor growth, invasion, and metastasis. For example, a dense, fibrotic stroma may create a physical barrier that limits the penetration of drugs, while an altered stroma may promote tumor cell migration and spread. Therefore, pathologists consider the stromal features as part of the overall assessment of TNBC, as they can provide additional information about the tumor’s behavior and its potential response to treatment.

Diagnostic Challenges and Importance of Accurate Histological Assessment

Diagnosing triple-negative breast cancer (TNBC) can sometimes be challenging due to its histological heterogeneity. While the features mentioned above are commonly seen, not all TNBC tumors exhibit all of them. Some TNBCs may have a more bland appearance, making it difficult to distinguish them from other breast cancer subtypes based on histology alone. Additionally, there can be overlap in histological features between TNBC and other types of breast cancer, such as basal-like breast cancer, which shares many similarities with TNBC. Therefore, pathologists rely on a combination of histological assessment and immunohistochemical (IHC) testing to confirm the diagnosis of TNBC. IHC involves using antibodies to detect the presence or absence of specific proteins in the tumor cells. In the case of TNBC, the tumor cells must be negative for ER, PR, and HER2 by IHC to meet the diagnostic criteria. Accurate histological assessment is crucial for proper diagnosis, prognosis, and treatment planning. A correct diagnosis ensures that patients receive the appropriate therapy, while a thorough histological evaluation can provide valuable information about the tumor’s aggressiveness and potential response to treatment. Therefore, pathologists play a critical role in the management of TNBC, and their expertise is essential for optimizing patient outcomes.

Understanding the histological features of triple-negative breast cancer is crucial for accurate diagnosis and effective treatment strategies. These cancers, characterized by their aggressive nature and lack of common receptors, require a keen eye and detailed analysis by pathologists. By recognizing key features such as high grade, high mitotic count, necrosis, lymphocytic infiltration, and specific stromal characteristics, healthcare professionals can better identify and manage this challenging form of breast cancer. If you have any concerns or questions about breast cancer, always consult with a qualified medical professional. They can provide personalized advice and guidance based on your individual circumstances. Remember, early detection and accurate diagnosis are vital for the best possible outcomes.